Expense Of Full Mouth Porcelain Veneers
You might require to find colleges that give inexpensive oral veneers. The expense is typically less than conventional pricing due to the fact that students are the ones to perform the service. They are assisted with board-certified dental professionals to make sure the pupil can finish the service well. Therapy options-- there might be additional aesthetic dental care treatments required prior to using veneers. Insurance coverage will just cover you if the damages you wish to hide with the veneers was triggered by condition or injury, as well as in some cases all-natural degeneration. Even in those instances where it is considered medically necessary, they'll still likely just cover a little section of the treatment.
How Long Do Porcelain Veneers Last?
You'll need to ensure you utilize a non-abrasive toothpaste to avoid damages to the veneers. You may be encouraged to avoid eating particularly hard foods, biting points to open them, or alcohol consumption fluids that might discolor them. Besides that, all you need to worry about is breaking or losing a veneer. If you should require to change one, you won't obtain a discount.
If you have been doing your study, you may have come across composite veneers and idea of it as a way to save money.
The process entails roughing up or preparing the surface area of the teeth for correct adhesion, followed by layering different tones of composite product to produce a more aesthetic layer.
As each instance is special, there may are porcelain veneers as strong as teeth be extra procedures needed, like gingival contouring or orthodontics, to attain an optimal result.
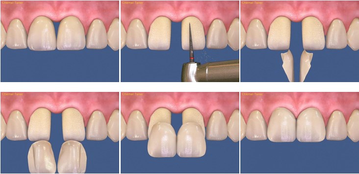
When the majority of people think about veneers, they are thinking or porcelain veneers.
If you are thinking about oral veneers, you must know that there are different materials used for dental veneers. When most individuals consider veneers they are thinking about ceramic veneers.
Is it painful to get veneers?
Does the process hurt? Typically patients are numb for the veneering process. There should be no pain during the procedure once numbness takes effect. With smaller cases (two or four veneers) there will be very little or no discomfort after the numbness subsides.
At Brite Smile Dental in San Diego, we specialize incosmetic dentistryand can develop your perfect smile. For a limited time, we are using veneers as low as $999 per tooth. The cost at Highland Oak Oral relies on the variety of veneers called for, yet usually, it costs between $1200 to $30000. If the visible teeth are done, the expense of the treatment can decrease considerably. Dr. Shiney George DDS said that these kinds of therapy are a long-term investment not just in your appearance yet likewise in your total health. Having a healthy and balanced smile and feeling confident can aid transform the individual's search for the much better. Examine if the oral colleges in your area can supply a discount on your services.
What are the best veneers?
The Best Porcelain Veneers are Prepless Veneers - Veneers without the Drill. Leading brands for prepless veneers include Lumineers ®, Vivaneers ™ and DURAthin ® Veneers.
Crafted right on your tooth by the dental practitioner this veneer gets rid of the laboratory. You can only anticipate five to seven years on the standard for the life span of a composite veneer.
Can you pay for veneers monthly?
Veneers are very much a cosmetic treatment that have been designed purely to enhance they way your teeth look. We are able to offer flexible 0% & low interest payment plans that can help break up the cost of treatment.
We know you may be assuming that is a huge price difference, and also you're right, however there are numerous variables that contribute to these costs. A porcelain veneer will certainly range in expense between $1,200 as well as $2,000 a tooth. So, more than one tooth the cost will certainly escalate appropriately. They might not be all the same rate as a result of the nature of the tooth and also potentially the damage that the natural tooth has. Composite veneers may just run $250 to $1500 per tooth, yet do the mathematics when it involves the life expectancy as well as your replacement costs at that time.
Making Your Option Relating To Porcelain Veneers Expense
Individuals who have misaligned or irregular teeth commonly get dental veneers. Though dental veneers set you back a lot of http://edgarzlyl665.trexgame.net/below-s-what-the-veneers-procedure-is-like cash, they are both long lasting as well as attractive-looking.
The area of the teeth make a big difference on the prices of the veneers also. If you're looking to have 6 to 8 of front teeth done for optimal cosmetics, the pricing of the veneers will certainly be 6-8 times the real amount of each tooth. It's suggested to have all front teeth done for a better what are porcelain veneers teeth and more consistence looking smile There are lots of factors that enter play when it concerns the total price of veneers. In most cases, oral veneers are charged per tooth, as well as can range $250-$2,500 per tooth.
Where is the cheapest place for veneers?
7 places for cheap dental veneers abroadIndia.
Thailand.
Hungary.
Ukraine.
Poland.
Turkey.

Mexico.
You will certainly probably need to pay for your porcelain veneers out-of-pocket. An oral veneer is a thin shell affixed to a tooth's surface. Usually veneers are made of resin composite or porcelain.
Last updated